NEWS
近期,中国科学院上海药物研究所与吉林大学第一医院的研究团队在国际著名期刊Cell Metabolism(IF=30.9)在线发表题为“The enedioic acid analog 326E alleviates metabolic dysfunction-associated steatohepatitis via dual targeting at ACLY and PPARα”(烯二酸类似物326E通过ACLY和PPARα的双重靶向来缓解代谢功能障碍相关的脂肪性肝炎)的研究论文。该研究发现并验证了一种名为326E的新型化合物,它通过同时作用于两个关键靶点(ACLY和PPARα),来有效治疗代谢功能障碍相关脂肪性肝炎(MASH)。
摘要

代谢功能障碍相关脂肪性肝炎(MASH)患病率的上升主要归因于脂质代谢失调。本研究发现,在高胆固醇血症2a 期研究中的一种研究性新药烯二酸ATP-柠檬酸裂解酶(ACLY)抑制剂326E可显著减少肝脏脂质积累并减轻MASH小鼠模型中的MASH。机制研究表明,326E不仅通过抑制ACLY以减少从头脂肪生成(DNL),而且还作为过氧化物酶体增殖物激活受体α (PPARα) 变构调节剂来增加肝脏脂肪酸氧化(FAO)来发挥这些作用。由于ACLY抑制,抑制FAO产品的回收导致脂质积累,活化的PPARα对MASH的功效得到增强。随后对食蟹猴(Macaca fascicularis)的研究证实了326E 对灵长类动物MASH 的有效性。在一项针对MASH(NCT06491576)患者的随机1b/2a 期临床试验中,326E耐受性良好,循环γ-谷氨酰转移酶(γ-GGT)降低。综上所述,我们的结果表明326E通过抑制ACLY和激活PPARα的独特双重机制对MASH具有治疗潜力。

HighIghts

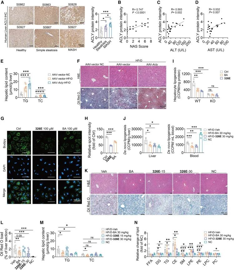
图1.肝ACLY与脂肪性肝炎发展和高碳水化合物诱发的脂肪肝相关。

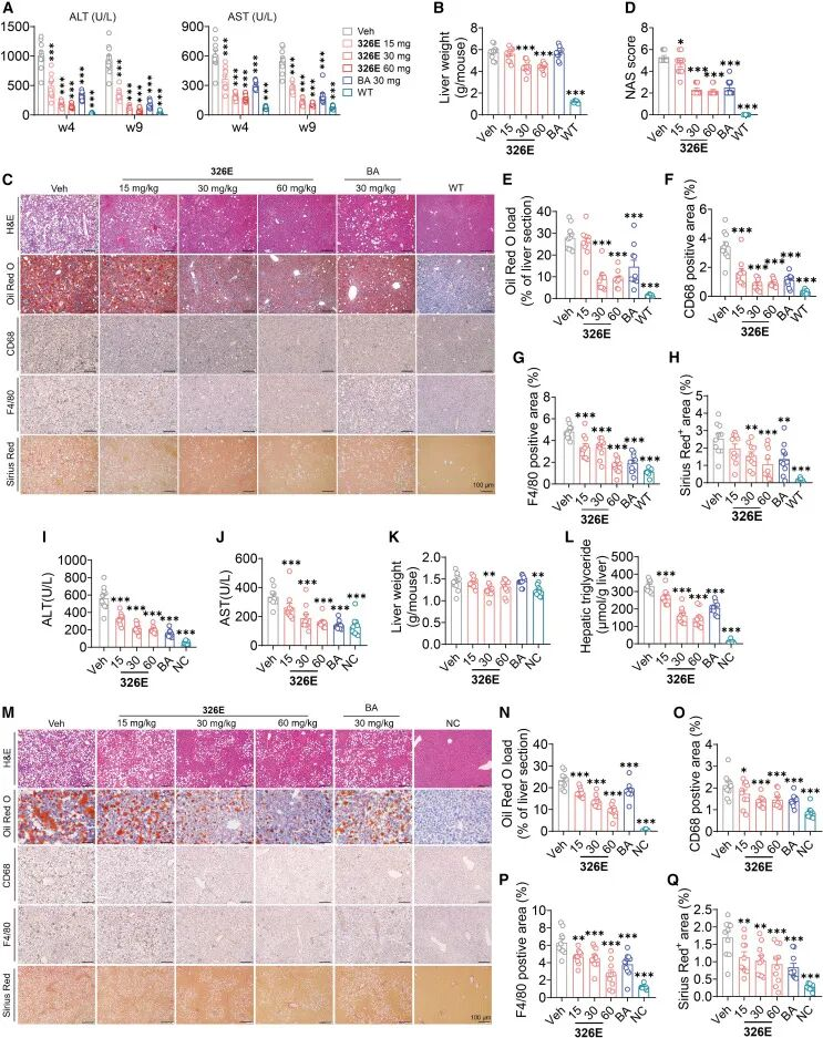
图2.口服326E可改善两种不同的饮食诱导的小鼠MASH模型。

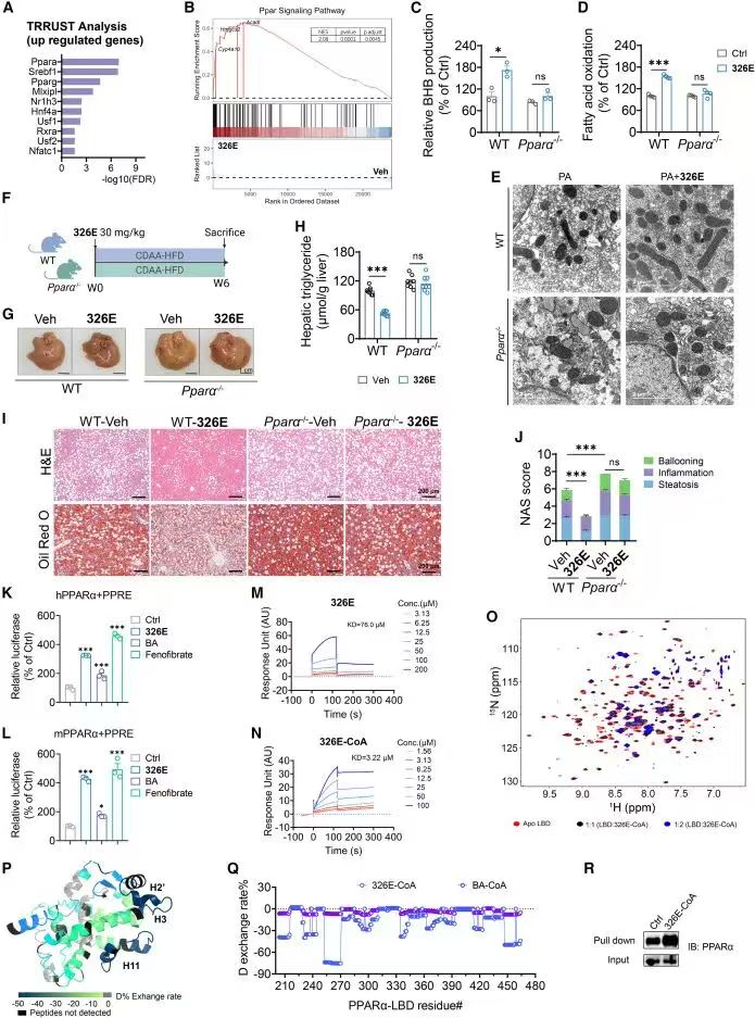
图3.326E给药通过PPARα激活诱导FAO。
原文链接:DOI: 10.1016/j.cmet.2025.09.011
组织全景扫描仪可以高效完成组织切片全景扫描成像的工作。该仪器兼容明场与多通道荧光组织全景扫描,具有高速度、高通量、高分辨率成像的特点,可助力高水平科研工作。



广州光影细胞科技有限公司(G Cell)依托清华等多学科研发团队,专注于生命科学研究中的影像技术应用。G Cell倡导积极开放合作,与科研机构、高校及医疗机构开展合作,推动实验室设备智能化发展,以先进的智能研究工具支持科学家,助力生命科学领域的创新突破。公司将持续创新,为全球生命科学前沿研究提供先进影像技术支撑。


广州光影细胞科技有限公司
Guangzhou G-Cell Technology Co., Ltd.
地址:广东省广州市黄埔区科学城神舟路18号润慧科技园D栋11层
电话:020-32012005
邮箱:gc@g-cell.cn
网址:www.g-cell.cn
END

扫码关注 发现更多精彩
化妆品ODM/OEM次抛精华哪家好?推荐同康国
次抛精华市场的技术革新需求 随着消费者对护肤品安全性和便携性要求的不断提升,次抛类产品...(155)人阅读时间:2025-12-29
文献速递|Cell Metab 326E 靶向 ACLY 与
NEWS 近期,中国科学院上海药物研究所与吉林大学第一医院的研究团队在国际著名期刊Cell Metab...(122)人阅读时间:2025-12-29
光影赋能夜游 三晞灯光点亮太湖古镇文旅
在浙江湖州的太湖之滨,一座集文化、娱乐、休闲于一体的文旅地标熠熠生辉 —— 太湖龙之梦...(146)人阅读时间:2025-12-26
商务应酬频繁,解酒护肝选[舒杯醒]植物
对于许多职场人与商务人士而言,密集的商务宴请、客户洽谈与社交聚会,往往不分时段地穿插在...(103)人阅读时间:2025-12-26
岁末聚会应酬扎堆,护肝解酒就选[舒杯醒
又到岁末年初,年会、客户宴请、朋友欢聚接连不断,酒桌文化躲不开、推不掉。职场人一边举杯...(111)人阅读时间:2025-12-26